الأربعاء 10 ديسمبر 2025
الجريدة الورقية
facebook
twitter
youtube
instagram
rss feed
رئيس حزب الوفد ورئيس مجلس الإدارة
د.عبد السند يمامة
رئيس مجلس التحرير
سامي أبو العز
رئيس التحرير
ياسر شورى
رئيس حزب الوفد ورئيس مجلس الإدارة
د.عبد السند يمامة
رئيس مجلس التحرير
سامي أبو العز
رئيس التحرير
ياسر شورى
أخبار وتقارير
حوادث
رياضة
ميديا
تكنولوجيا
جامعات ومدارس
اقتصاد
عربي ودولي
فن وثقافة
القائمة
أخبار وتقارير
حوادث
رياضة
ميديا
تكنولوجيا
جامعات ومدارس
اقتصاد
عربي ودولي
فن وثقافة
المرأة والمنوعات
مقالات الرأي
تحقيقات وقصص خبرية
المحـافظـات
هنا الإسكندرية
سيارات
دنيا ودين
حزب الوفد
خدمات
الطريق إلى البرلمان
المواطن الصحفى
المغتربون المصريون
المجتمع اليوم
عقارات
البحث
الرئيسية
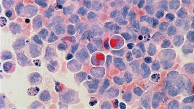
علامات سرطان الدم
علامات سرطان الدم
أعراض غير واضحة لسرطان الدم.. انتبه
منذ 5 أشهر
الكدمات هي علامة تنذر بالخطر لسرطان الدم
منذ سنتين